자연유착 눈매교정

작성자93d308b1
댓글 0건
작성일 25-04-15 21:51
2024년 드디어 4개월의 대기후에 8월에 박동권 원장님께 상담받고
개인사정이 있어 2025년 3월10일에 자연유착 눈매교정 시술을 하였습니다
먼저 방문했던 두곳의 타 병원보다 상담시 과잉진료 없이 차분하게
잘 상담해 주셨고 가격도 합리적이었습니다
처음 2~3주간은 붓기와 멍이 남아 있었으나
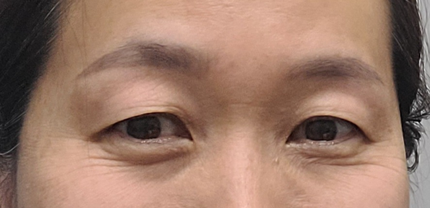
한달이 경과한 지금은 매우 자연스러운 상태가 되었고
눈처짐과 눈뜨는 힘이 많이 들어 피곤했던 점이 개선되어 아주 편안하고 눈 모양도 아주 자연스러워서 감사합니다
개인사정이 있어 2025년 3월10일에 자연유착 눈매교정 시술을 하였습니다
먼저 방문했던 두곳의 타 병원보다 상담시 과잉진료 없이 차분하게
잘 상담해 주셨고 가격도 합리적이었습니다
처음 2~3주간은 붓기와 멍이 남아 있었으나
한달이 경과한 지금은 매우 자연스러운 상태가 되었고
눈처짐과 눈뜨는 힘이 많이 들어 피곤했던 점이 개선되어 아주 편안하고 눈 모양도 아주 자연스러워서 감사합니다





