N
AMOND
REAL REVIEW
아몬드성형외과에서 수술하신 분들의 리얼한 후기
BEST TOP5
아몬드성형외과에서 수술하신 분들의 베스트리뷰 TOP5
백**
상담부터 자연유착 후기까지
최**
쌍꺼풀 세미아웃+라이너트임
이**
순간유착 한달차 후기
김**
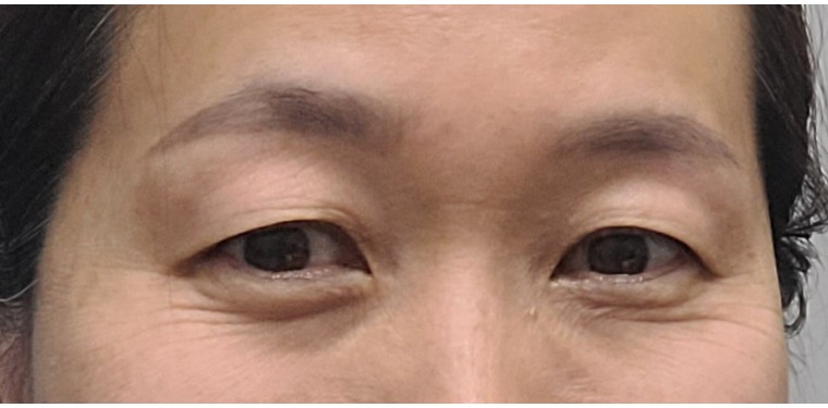
눈밑지방재배치 수술로 눈밑지방 제거하고 피곤한 인상 개선 만족하여 추천!
오**
자연유착_겹쌍꺼풀과 양쪽 눈높이 맞추기
완전절개+눈매교정+지방제거 후기
아몬드에서 자연유착 및 눈매교정했어요! 만족합니다~
강원장님께 자연유착 재수술 받았어요~
눈썹하거상 수술후기 입니다
아몬드에서 라이너트임했어요~
심승현원장님께 쌍꺼풀 재수술 받았어요
전후사진
심쁠리TV
아몬드논현
의사보다 내가 더 만족하는 아몬드
카카오톡 상담
온라인 상담