MENU

AMOND

REAL REVIEW

아몬드성형외과에서 수술하신 분들의 리얼한 후기

자연유착후기

profile_image
작성자남종영
댓글 0건 작성일 25-04-22 13:12
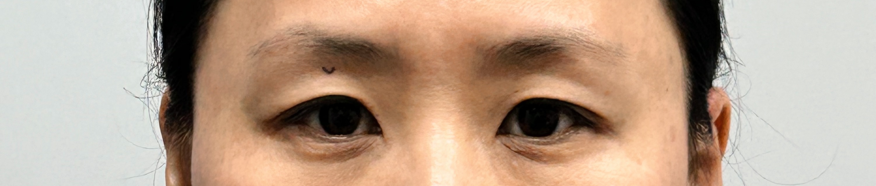
눈이 처지기 시작하면서 쌍꺼풀수술을 마음먹었는데
자연스럽게 잘 되었어요
Total 4,598건 38 페이지

자연유착+눈매교정 후기

50대 눈썹거상,하안검 2달후기

40 대 눈밑지 상안검 후기

쌍꺼플수술후기

눈섭거상및눈밑트임

자연유착후기

의사보다 내가 더 만족하는 아몬드

카카오톡 상담

온라인 상담