라이너트임 한달반 후기

작성자이채연
댓글 0건
작성일 25-03-20 15:12
이인호원장님한테 수술받았어요
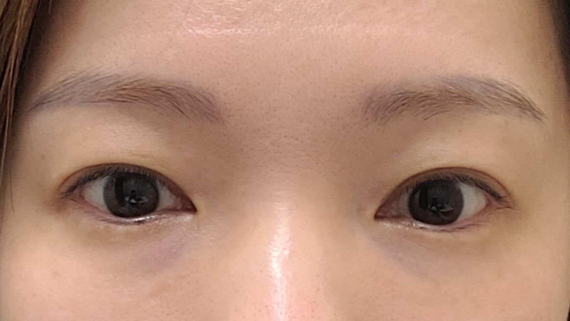
수술전에 왼쪽이 좀더 올라간 눈이라 수술수에 왼쪽이 더 과교정되어있었어요
초반에 속눈썹말림으로 눈이 많이충혈됬었는데 점점 과교정된건 올라오긴했어요
크게 드라마틱하게 눈이 커졌다기보단 모양교정이 되는 수술같아요
올라갔던 눈이 내려와보여서 만족해요
수술전에 왼쪽이 좀더 올라간 눈이라 수술수에 왼쪽이 더 과교정되어있었어요
초반에 속눈썹말림으로 눈이 많이충혈됬었는데 점점 과교정된건 올라오긴했어요
크게 드라마틱하게 눈이 커졌다기보단 모양교정이 되는 수술같아요
올라갔던 눈이 내려와보여서 만족해요






