자연유착 쌍커풀 + 눈밑지방재배치 수술 후기입니다

작성자정수진
댓글 0건
작성일 25-02-14 13:05
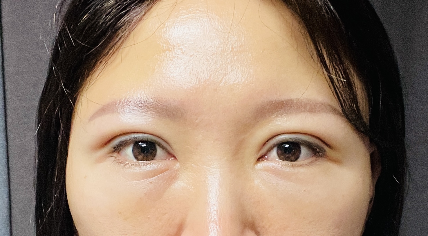
쌍커풀이 있는 눈⌕이지만 짝짝이에
눈두덩이 살이 많은편인데 40대가 되니 점⌕점 내려와서
눈뜨기도 답답하고 졸려보여서 쌍커풀 수술 알아봤어요
이마거상이나 절개수술 얘기해주시는 병원도 있었는데
아몬드 김상헌 원장님께 상담받을 때는
눈썹과 눈 거리가 짧아서 절개는 어렵고 더 튀어나와 보일 수 있다고 얘기해 주셔서
자연유착+ 지방제거 하고 눈밑튀어나온부분
지방재배치로 결정했습니다~
수술 후 눈뜨기도 편하고 또렷해보인다는 소리 많이들어요
일주일 정도 지나면서 눈밑붓기는 완전히 빠졌고
눈윗부분 붓기도 점차 빠지고 있어서 점점 자연스러워보여요
너무 만족스러워서 주변에도 추천하고 있어요~
눈두덩이 살이 많은편인데 40대가 되니 점⌕점 내려와서
눈뜨기도 답답하고 졸려보여서 쌍커풀 수술 알아봤어요
이마거상이나 절개수술 얘기해주시는 병원도 있었는데
아몬드 김상헌 원장님께 상담받을 때는
눈썹과 눈 거리가 짧아서 절개는 어렵고 더 튀어나와 보일 수 있다고 얘기해 주셔서
자연유착+ 지방제거 하고 눈밑튀어나온부분
지방재배치로 결정했습니다~
수술 후 눈뜨기도 편하고 또렷해보인다는 소리 많이들어요
일주일 정도 지나면서 눈밑붓기는 완전히 빠졌고
눈윗부분 붓기도 점차 빠지고 있어서 점점 자연스러워보여요
너무 만족스러워서 주변에도 추천하고 있어요~







