자연유착 쌍꺼풀 시술을 통해 고민해결했어요^^

작성자하이얀
댓글 0건
작성일 24-02-06 17:12
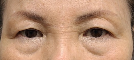
눈처짐으로 인해 대인기피증 및 자신감이 없어 사람을 기피했었는데 수술후사람들과의 관계가 원만해져습니다.
시술에 대한 자세한 설명과 결과에 감사드립니다.^^
시술에 대한 자세한 설명과 결과에 감사드립니다.^^





