눈썹 하거상 /하안검 / 매몰 1주일차 후기 사진

작성자948f08f3
댓글 0건
작성일 23-06-09 22:20
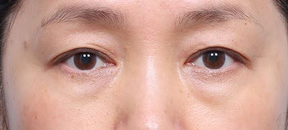
첫번째 사진 수술전에는 눈밑이 많이 쳐지고, 쌍커풀도 사라져서 스트레스였습니다
특히나 왼쪽 눈밑 이 더 쳐져서 고민끝에 아몬드 성형외과를 추천받고 예약 후 상담진행하여 수술 진행했습니다
왼쪽 눈밑이 신경쓰인다하니 더욱 신경써주셨습니다.
한달이 지나지 않은 시점에서 찍은 사진인데
붓기도 첫날보다 더 많이 가라앉고 (개인차있을수있음/ 본인은 붓기가 빨리 빠짐) 흉도 많이 아물고 있습니다.
붓기 빠지는 과정을 지켜보는게 즐겁네요
특히나 왼쪽 눈밑 이 더 쳐져서 고민끝에 아몬드 성형외과를 추천받고 예약 후 상담진행하여 수술 진행했습니다
왼쪽 눈밑이 신경쓰인다하니 더욱 신경써주셨습니다.
한달이 지나지 않은 시점에서 찍은 사진인데
붓기도 첫날보다 더 많이 가라앉고 (개인차있을수있음/ 본인은 붓기가 빨리 빠짐) 흉도 많이 아물고 있습니다.
붓기 빠지는 과정을 지켜보는게 즐겁네요






