N
AMOND
REAL REVIEW
아몬드성형외과에서 수술하신 분들의 리얼한 후기
BEST TOP5
아몬드성형외과에서 수술하신 분들의 베스트리뷰 TOP5
백**
상담부터 자연유착 후기까지
최**
쌍꺼풀 세미아웃+라이너트임
이**
순간유착 한달차 후기
김**
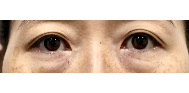
눈밑지방재배치 수술로 눈밑지방 제거하고 피곤한 인상 개선 만족하여 추천!
오**
자연유착_겹쌍꺼풀과 양쪽 눈높이 맞추기
심승현 원장님한테 자연유착 했어요
자연유착 후기
자연유착 지방제거 했어요^^
아버님 쌍안검 하안검 수술후기
완전 절개 + 눈매교정 후기
뒷밑트임 후기
전후사진
심쁠리TV
아몬드논현
의사보다 내가 더 만족하는 아몬드
카카오톡 상담
온라인 상담