N
AMOND
REAL REVIEW
아몬드성형외과에서 수술하신 분들의 리얼한 후기
BEST TOP5
아몬드성형외과에서 수술하신 분들의 베스트리뷰 TOP5
백**
상담부터 자연유착 후기까지
최**
쌍꺼풀 세미아웃+라이너트임
이**
순간유착 한달차 후기
김**
눈밑지방재배치 수술로 눈밑지방 제거하고 피곤한 인상 개선 만족하여 추천!
오**
자연유착_겹쌍꺼풀과 양쪽 눈높이 맞추기
앞트임 + 자연유착 수술 후기
쌍커풀절개+지방제거+앞윗트임후기
쌍커풀 재수술 후기
심승현 원장님 자연유착 후기(원래 쌍꺼풀있는 사람!)
자연유착 쌍꺼풀(매몰법)
자연유착, 눈매교정, 라이너, 트임 했어요!
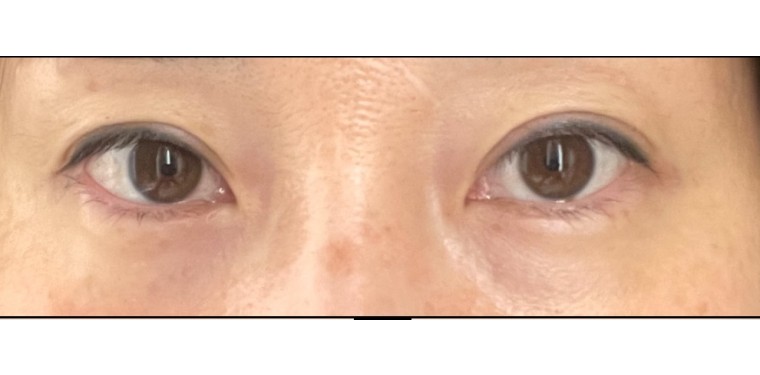
전후사진
심쁠리TV
아몬드논현
의사보다 내가 더 만족하는 아몬드
카카오톡 상담
온라인 상담