MENU

AMOND

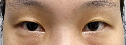
전후사진

아몬드 성형외과에서 수술하신 분들의 전후사진입니다.

BEFORE

AFTER

절개,눈매교정,앞트임

절개,눈매교정,앞트임
절개,눈매교정,눈위지방제거,눈밑지방재배치
절개,눈매교정,눈위지방제거,눈밑지방재배치
자연유착,라이너트임
자연유착,라이너트임
자연유착,비절개눈매교정
자연유착,비절개눈매교정
자연유착,비절개눈매교정

의사보다 내가 더 만족하는 아몬드

카카오톡 상담

온라인 상담